Skip to main content
Toggle navigation
Insect
Search Insect Handbook
Quick find: Insect crop pests
Emerging Insect Pests in the Pacific Northwest
Ongoing Eradication Programs
Spotted lanternfly
Brown Marmorated Stink Bug: An Emerging Threat to Pacific Northwest Agriculture
Japanese beetle
Northern giant hornet (2019)
Spongy moth
Spotted-wing Drosophila: An Emerging Berry and Stone Fruit Pest
Emerging Insect Pests
Agronomic Crops
Farm-Stored Grain Pests
Field and Silage Corn Pests
Hemp Pests
Hop Pests
Mint Pests
Small Grain Pests
Sugar Beet Pests
Sunflower Pests
Bee Protection
How to Reduce Bee Poisoning from Pesticides
Alfalfa Leafcutting Bee Pests
Alkali Bee Pests
Blue Orchard Bee (Osmia lignaria) Pests
Honey Bee Pests
Legume, Grass, and Field Seed Crops
Pests of Alfalfa Grown for Seed
Canola Pests
Pests of Clover Grown for Seed
Dry Edible and Seed Pea Pests
Grass Seed Pests
Meadowfoam Pests
Pests of Sugar Beet Grown for Seed
Pests of Vetch Grown for Seed
Hay and Pasture Crops
Alfalfa Hay Pests
Clover Hay Pests
Pasture and Grass Hay Pests
Rangeland Pests
Vetch Hay Pests
Horticultural, Landscape, and Ornamental Crops
Christmas Tree Plantation Pests
Nursery Pests
Biological Control of Nursery Pests
Chemical Control of Nursery Pests
Common Pests of Nursery Crops
Hosts and Pests of Nursery Crops
Greenhouse Ornamental Pests
Landscape
Chemical Control of Landscape Pests
Common Landscape Pests
Hosts and Pests of Landscape Plants
Turfgrass Pests
Livestock
Beef Cattle Pests
Dairy Cattle Pests
Fly Control
Horse Pests
Poultry Pests
Sheep and Goat Pests
Swine Pests
Nut Crops
Chestnut Pests
Hazelnut Pests
Walnut Pests
Small Fruit Crops
Blueberry Pests
Blackberry and Raspberry Pests
Cranberry Pests
Currant and Gooseberry Pests
Grape Pests
Strawberry Pests
Tree Fruit Crops
Field Characteristics of Fruit-Tree-Attacking Spider Mites in the Pacific Northwest
Applying Pesticide on Fruit Tree Pests
Apple Pests
Apricot Pests
Cherry (Sweet and Sour) Pests
Peach and Nectarine Pests
Pear Pests
Plum and Prune Pests
Bud Development Chart
Vegetable Crops
Vegetable Crops
Common Pests of Vegetable Crops
Hosts and Pests of Vegetable Crops
Irish Potato Pests
Mushroom Pests
Vegetable Seed Crops
Pests of Cabbage and Mustard Grown for Seed
Pests of Carrot Grown for Seed
Pests of Corn Grown for Seed
Pests of Lettuce Grown for Seed
Pests of Onion Grown for Seed
Pests of Radish Grown for Seed
Pests of Rutabaga and Turnip Grown for Seed
Pests of Spinach Grown for Seed
Pests of Table Beet Grown for Seed
Structural and Health Pests
Nuisance and Household Pests
Public Health Pests
Wood-Infesting Insect Pests
Wood-Infesting Beetles
Integrated Pest Management
Concepts of IPM
Biological Control
Entomopathogenic Nematodes
Biology and control of the garden symphylan
Slug Control
Insecticide Resistance Management
Pesticide Application
Calibrating Pesticide Sprayers
Conversion Factors
Dilution and Application Tables
Formulations and Concentrations
Guidelines-Chemigation
Characteristics of Insecticides
Plant Disease
Search Plant Disease Handbook
Quick Find: Hosts and diseases
Cultivar Susceptibility Tables
Apple Cultivar Susceptibility
Bean, Dry Cultivar Resistance to Bean Common Mosaic
Blackberry Cultivar Susceptibility
Blueberry Cultivar Susceptibility
Cherry Cultivar Susceptibility
Crabapple Cultivar Susceptibility
Grape (Vitis spp.) Relative Disease Susceptibility and Sensitivity to Sulfur
Hazelnut Cultivar Susceptibility
Juniper Cultivar Susceptibility
Pear Cultivar Susceptibility
Pear, Asian Cultivar Susceptibility
Raspberry Cultivar Susceptibility
Rose Cultivar Resistance
Strawberry Cultivar Susceptibility
Tomato (Solanum lycopersicum)-Tomato Varietal Resistance to Fusarium Wilt and/or Crown and Root Rot
Tomato (Solanum lycopersicum)-Varietal Resistance
Diagnosis and Testing
Disease Diagnosis and Management
Testing Services
Pathogen Articles
Pathogens Common to Many Plants
Oregon’s Most Unwanted: Invasive Species
Oregon Quarantines
Nematodes
Oomycetes
Diagnosis and Management of Phytophthora Diseases
APHIS List of Regulated Hosts and Plants Proven or Associated with Phytophthora ramorum
Fungi
Powdery Mildew Diseases
Damping-off in Tree Nurseries
Damping-off in Vegetable Seedlings
Mycotoxins
Plants Resistant or Susceptible to Armillaria Root Rot
Verticillium Wilt in the Pacific Northwest
Plants Resistant or Susceptible to Verticillium Wilt
Plants Susceptible to Sclerotinia sclerotiorum
Bacteria and Other Prokaryotes
Diseases Caused by Pseudomonas syringae
Crown Gall Disease of Nursery Crops
Potential Impact of Cyanobacteria on Crop Plants
Management of the Cyanobacterium Nostoc in Horticultural Nurseries
Fire Blight of Apple and Pear
Plant Viruses
Parasitic Plants of Oregon
Tree Decline
Fasciation
Nonpathogenic Phenomena
Mycorrhiza
Algae, Lichens, and Mosses on Plants
Living in the Land of Mosses
Thatch in Home Lawns
Care and Maintenance of Wood Shingle and Shake Roofs
Winter Injury of Landscape Plants in the Pacific Northwest
Recognizing Sapsucker Damage on your Trees
Plant Nutrition Diagnosis
Key to Nutrient Deficiencies in Vegetable Crops
Key to Nutrient Deficiencies of Deciduous Fruit and Nuts
Fluorine Toxicity in Plants
Air Pollution (Ozone)
Pesticide Articles
Resources
Glossary
Reference Tables
Weed
Search Weed Handbook
Quick Find: Problem Weeds
Weeders of the West blog
Biological Control
Current Status of Biological Weed Control Agents in Idaho, Oregon, and Washington
Biological Control Agents and Their Roles
Agrichemicals & Their Properties
Restricted-use Herbicides in Idaho, Oregon, and Washington
Testing for and Deactivating Herbicide Residues
Managing Herbicide-resistant Weeds
Cleaning Spraytanks
Agronomic Weed Control
Cereal Grain Crops
Barley
Oats
Winter Wheat-East of the Cascades
Winter Wheat-West of the Cascades
Spring Wheat
Chemical Fallow East of the Cascades
Conservation Reserve Program
Grass Seed Crops
Herbicide Effectiveness on Weeds in Grass Seed Crops
Forage and Seed Crops
Grass Hay
Forage Alfalfa
Alfalfa Seed
Birdsfoot Trefoil
Clover Seed
Legumes (large-seeded)
Dry Bean East of the Cascades - Phaseolus spp. (field bean, kidney, lima, navy, and pinto)
Pea (Dry)
Lentils
Garbanzo Beans (Chickpeas)
Oils and Fiber
Camelina (Gold of Pleasure)
Canola (including Rape Seed)
Flax
Mint
Corn
Hop
Potato
Sugar Beet
Aquatic Weed Contol
Control of Some Common Aquatic Weeds with Herbicides
Treated Water Use Restrictions (Number of Days)
Treatment of Aquatic Weeds
Forestry & Hybrid Cottonwoods
Forestry
Effectiveness of Major Forestry-registered Herbicides during Seasons of Optimum Usage, Oregon Basis
Herbicide Recommendations for Control of Listed Species
Recommendations for Broadcast Spraying for Control of Listed Species
Hybrid Cottonwood (Hybrid Poplar) Grown for Pulp
Horticultural Weed Management
Orchards and Vineyards
Tree Fruits and Nuts
Vegetation Management in Orchards, Vineyards, and Berries
Vineyard and Grape
Small Fruit
Blackberry and Raspberry
Blueberry, Gooseberry, Currant, and Elderberry
Cranberry
Kiwifruit
Strawberry
Vegetable Crops
Introduction
Important Preharvest Intervals (PHIs) for Vegetables
Site Preparation, Stale Seedbeds, and Directed Nonselective Applications
Crop Rotation Intervals (months) for Common Soil-active Herbicides
Artichoke (Globe)
Asparagus
Bean (Snap, Green, or Succulent)
Beet (Red or Table)
Brassicaceous Crops
Carrot, Celery, Parsnip, and Celeriac
Cucurbit and Vine Crops
Edamame
Garlic
Leaf Crops
Onion
Pea (Green or English)
Rhubarb
Tomato, Pepper, and Eggplant
Vegetable Seed Crops
Christmas Trees
Herbicide Effectiveness in Christmas Trees
Nursery, Greenhouse, and Bulb Crops
Site Preparation
Weed Control in Container-grown Nursery Stock
Weed Control in Field-grown Nursery Stock
Greenhouse Floors
Conifer Seedbeds
Ornamental Bulb, Rhizome, Corm, and Tuber Crops
Professional Landscape Maintenance
Established Tree, Shrub, Rose, and Ground Cover Landscapes
Bulb, Flower Beds, and Native Wildflowers
General Maintenance around Ornamental Plantings
Turfgrass
Home Garden and Landscape Management
Weed Treatments and Available Products for Home Gardens and Landscapes
Pasture and Rangeland
Small Pastures
Weed Control in Pasture and Rangeland
Non-cropland and Right-of-way
Vegetation Control
Managing Unwanted Vegetation in Riparian Restoration Sites
Resources
Glossary
Useful Tables and Calculations
Websites of Interest
Pesticide Safety
In Case of Emergency
Pesticide Safety Checklist
What to Do in Case of Pesticide Poisoning
Personal Protective Equipment Definitions
Pesticide Spills and Cleanup
Cleaning, Recycling, and Disposing of Agricultural Pesticide Containers
Disposing of Unusable Pesticides and Agricultural, Household and Residential Pesticide Products
Pesticides and Water Quality
Pesticides, Endangered Species, and Mandatory No-spray Buffer Zones
Pollinator Protection
Special Pesticide Registration Options
Additional Pesticide Information
Regulatory Authorities
Worker Protection Standard for Agricultural Pesticides
Minimum Personal Protective Equipment and Work Clothing for Handling Activities
OSU Extension Catalog
Search form
Search
Plant Disease
Resources
Glossary
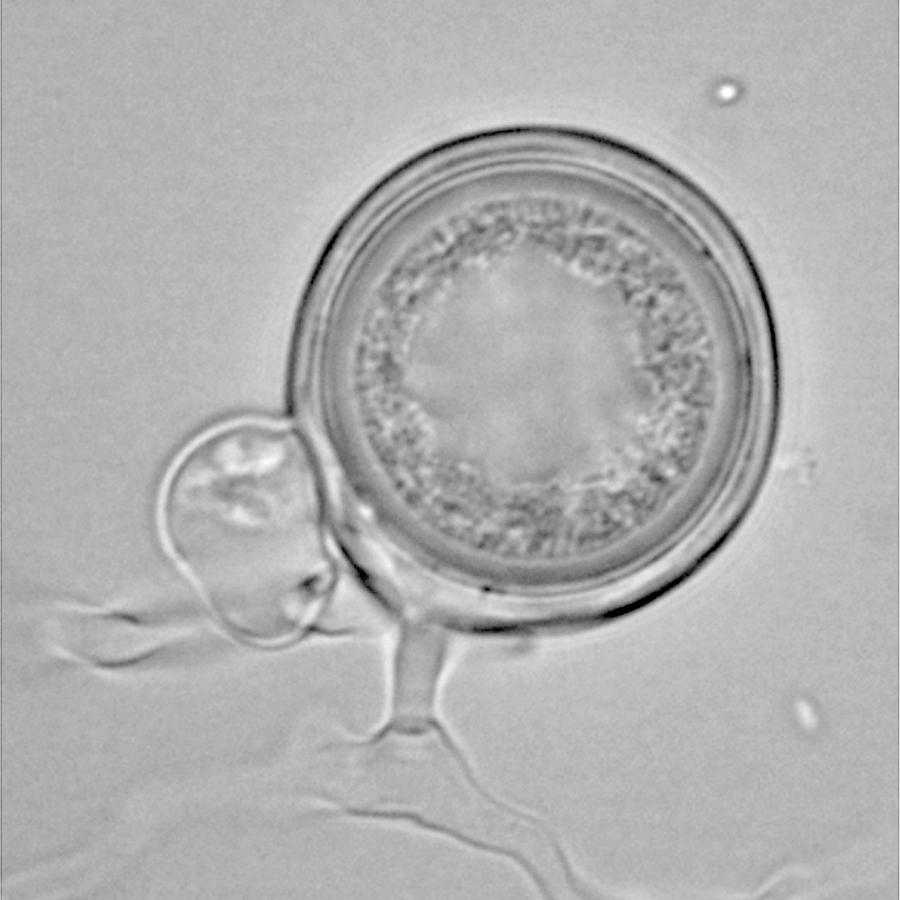
Oogonium
(pl. Oogonia)
Latest revision:
March 2024
Female egg cell of oomycete fungi.